Arthroscopic shoulder surgery for the treatment of rotator cuff tears: why, when and how it is done
In this article:
- Overview of Rotator Cuff Tears
- Symptoms
- Diagnosis
- Non-Surgical Treatments
- Arthroscopic Surgery for Repair of Rotator Cuff Tears
- Physical Therapy
- Summary
Overview of Rotator Cuff Tears
Tears of the rotator cuff of the shoulder are potentially painful and disabling conditions. Treatments for rotator cuff tears vary widely depending upon the severity of symptoms and signs. The person with a rotator cuff tear can have a sudden (acute/traumatic) or gradual (chronic) onset of shoulder pain with or without weakness. Although tears can occur as a result of a traumatic injury, many tears occur gradually and no specific injury can be recalled.
The pain associated with rotator cuff tears is usually located at the front and side of the shoulder or upper arm, and is frequently described as having an aching, burning or tooth achy quality. The pain usually occurs with overhead motions, but can progress to the point that it is present with normal activities or wake the patient during sleep. (See Fig. 1.)
While most people have heard of the rotator cuff, many are unclear about why we have one and how it functions. The term "rotator cuff" refers collectively to a group of four relatively small muscles that surround the "ball and socket" joint of the shoulder. These muscles are called the supraspinatus, infraspinatus, subscapularis and teres minor. (See Fig. 2.) One function of these muscles is to aid in the rotation of the arm around its long axis (as when one throws a Frisbee or passes a plate from side to side). Another, perhaps more important, function of the rotator cuff is to keep the humeral head (the "ball" of the joint, connected to the arm) centered in the shallow glenoid (the "socket" of the joint, which attaches the arm to the body). When the larger muscles around the shoulder (the deltoids, pectoralis, latissimus, and others) move the arm, they tend to impart forces that act to displace the humeral head from the socket. The rotator cuff muscles must contract to keep the ball and socket joint centered. When the cuff muscles become weak, torn, or injured, they can no longer perform this centering function and the abnormal motions affect the normal function of the shoulder. This usually causes pain and weakness with shoulder motion.
Many patients will improve with appropriate rehabilitation of the rotator cuff. However, some patients will have continued symptoms despite adequate rehabilitation and may require surgery. Arthroscopic shoulder surgery should be used to both define and diagnose the exact nature of the tears. In most cases, the problem can be treated using specially-designed instruments working through very small incisions with a minimum of discomfort and without the need for a hospital stay.
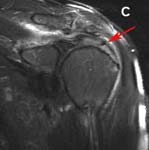
An experienced physician, therapist, shoulder surgeon, or sports medicine surgeon can usually recognize the signs of rotator cuff problems. While the rotator cuff can not be directly visualized on X-rays, there may be subtle signs on the bones of the shoulder joint that can suggest a problem. If suspected, the diagnosis can almost always be made or confirmed using Magnetic Resonance Imaging techniques (MRI). However, many different problems can present with shoulder pain, so a thorough clinical examination by an experienced orthopedic shoulder surgeon is recommended. (See Fig. 3.)
For many people, a conservative approach with formal physical therapy and then a home-based strengthening program can resolve the pain, weakness, and disability of a rotator cuff tear. In fact, many persons who have documented rotator cuff tears will regain completely normal and painless shoulder function without surgery. It should be emphasized that there are many people who have asymptomatic rotator cuff tears (they have no idea they have a tear)—having a rotator cuff tear does not automatically mean that one requires surgery to fix it. However, certain people may require surgery to regain normal, painless shoulder function.
Patients who may require surgery to repair a torn rotator cuff include:
- Persons whose symptoms do not improve with appropriate physical therapy or rehabilitation
- High-demand athletes after an acute injury
- Overhead workers or laborers
- Persons who have changes on X-ray or MRI that suggest that irrecoverable damage to the shoulder may occur if the shoulder mechanics are affected by the cuff tear.
Arthroscopic shoulder surgery, or shoulder arthroscopy, is a valuable tool to treat rotator cuff tears. Using the scope, an experienced surgeon who is facile with arthroscopic techniques can evaluate the entire shoulder joint and can usually fix the tear through very small incisions using specially-designed instruments and devices. It is a common misconception that tears that are large should not be repaired arthroscopically—in fact the advantages of visualization and complete access to the tear make such large tears particularly amenable to arthroscopic repair. The goals of repair are to restore normal and painless motion and full strength to the affected shoulder:
- the rotator cuff tear is identified and loose, degenerated, and frayed tissue around the cuff edge must be removed back to healthy tissue. This process is called débridement.
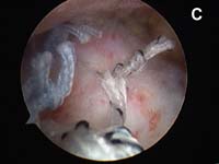
- The edge of the cuff tear must be brought back to its normal position without undue tension. This process is accomplished using techniques called mobilization or in larger tears, a technique called margin convergence. (See Fig. 4).
- The tear must be fixed into place using specially-designed suture anchors that allow the surgeon to approximate the cuff tear securely to the bone.
The results are most predictable in the hands of a highly-specialized surgical team that is familiar with the various techniques and instruments and who perform this surgery often. Such a team will maximize the benefits of the surgery and minimize the risks. The procedure can usually be performed within a few hours under general (or nerve block) anesthesia and the patient can be discharged to home with a minimum of discomfort. In addition, the scope allows the surgeon to take pictures and video to show to the patient what problem(s) existed and how the problem was addressed.
Diagnostic Arthroscopy for Rotator Cuff Tears
The video below is a diagnostic arthroscopy procedure as viewed from the back of the joint looking to the front. This patient has mild, partial thickness fraying at the rotator cuff insertion. This tear is analogous to the tear show in Fig. 5.
Patients undergoing arthroscopic rotator cuff repair still require a limited period in a sling (usually 4 to 6 weeks) with some simple range-of-motion exercises at home. They will require fairly intensive outpatient physical therapy for re-establishing pain-free motion and strengthening the shoulder muscles for a few months. Normally, a person can return to most forms of normal activity within 6 to 8 weeks, and limited athletics between 12 and 16 weeks. A return to all activities, even contact athletics, can usually be accomplished by 4 to 6 months, depending on the sport.
Rotator Cuff Tear Image Gallery

















Symptoms
Types of Rotator Cuff Tears
When the rotator cuff does not function normally, due to weakness, fraying or tearing, it may not function correctly to keep the humeral head (or "ball" at the top of the arm bone or humerus) centered on the glenoid (or "socket" attached to the shoulder blade). This causes abnormal motion at the joint and can result in "impingement" of the surfaces of the cuff on the bony arch that surrounds it. Problems of the cuff are varied, and there is a spectrum of problems related to the cuff from mild to severe:
- tendonitis (inflammation of the cuff tissue) is usually mild, and responds to rehabilitation
- tendinosus (repetitive injury to the cuff with poor healing) is a process by which healthy cuff tissue becomes weak or degenerative. This problem also frequently responds to adequate rehabilitation
- partial-thickness or incomplete tears can occur. While these tears may progress to complete tears, rehabilitation can frequently strengthen the remaining intact cuff tissue and halt the process. Many persons with partial-thickness tears will never require surgery if they undergo an appropriate physical therapy rehabilitation to address muscle imbalances. (See Fig. 5. and video above)
- full thickness tears occur when portions of the rotator cuff tendon pull completely away from the bony insertion. These are classified by surgeons as small (involving only part of one tendon with little retraction from the insertion), medium (involving one or at most 2 tendons with little retraction) (See Fig. 6), large (involving a substantial part of one or two tendons, and requiring extensive repair or mobilization to be fixed) or massive (tears involving at least 2 tendons that will extensive débridement, mobilization and reconstruction). (See Fig. 7) Occasionally, persons with small or even medium-sized tears can be rehabilitated back to normal function with physical therapy. Persons with large and massive tears are unlikely to improve with rehabilitation, and in some rare cases, delaying surgery unnecessarily can lead to a wasting of tissues and muscles (called atrophy) that can make later repair difficult or impossible.
Rotator cuff tears can occur in concert with other shoulder problems, and frequently, the rotator cuff tear is an "innocent bystander" to a more symptomatic problem such as shoulder instability or arthritis. It is important for a shoulder specialist to perform a comprehensive examination of the shoulder and neck to be sure that other problems are not present or have not contributed to the shoulder pain or rotator cuff tear.
Conditions with similar symptoms
In fact, there are people who have perfectly normal shoulder function despite the fact that they have a rotator cuff tear. When the function of the rotator cuff is preserved, the shoulder may be painless and have normal strength. Symptoms are likely to develop when a tear begins to affect the normal cuff function. This is important, however, because many problems in the shoulder can cause pain or weakness. These things include:
- impingement--rubbing of the cuff surfaces on the undersurface of the acromion (or bony ‘roof’ of the shoulder)
- instability—subtle dislocation of the shoulder joint
- frozen shoulder—also called adhesive capsulitis is a temporary inflammation and scarring of the shoulder capsule
- arthritis—joint wear between the humeral head and glenoid or at the end of the collar bone (clavicle) where it meets the acromion (bony ‘roof’ of the shoulder). (See Fig. 8)
Not uncommonly, these different problems can occur simultaneously (i.e. instability can lead to arthritis or to rotator cuff tears or to impingment, and alternatively a rotator cuff tear can lead to subtle instability). For these reasons, a comprehensive shoulder examination by an experienced physician is important.
Incidence and risk factors
It is difficult to estimate the number of persons who have injury to the rotator cuff, because even full-thickness tears may not necessarily affect function. However, painful or symptomatic rotator cuff tears are a common cause of shoulder pain. They can occur in young or old persons, with or without a traumatic injury, and in active and sedentary populations alike.
Risk factors for a rotator cuff tear include:
- overhead athletes or laborers
- traumatic injuries or dislocations of the shoulder joint
- those who perform repetitive overhead activities
- contact athletes (football, hockey, wrestling, lacrosse)
- persons who have had a rotator cuff tear on the opposite shoulder
Diagnosis
A physician can diagnose rotator cuff injury by reviewing the patients history, performing a thorough physical examination and shoulder examination, and through the use of imaging techniques such as X-rays and magnetic resonance imaging (MRI).
The physical examination and history are a reliable means to diagnose rotator cuff weakness and pain. Many times, persons will have no abnormalities on X-ray (the cuff can not be visualized with x-ray), but MRI is very reliable in confirming a suspected diagnosis. Frequently, and MRI arthrogram will be performed. For this study, a contrast ‘dye’ is injected into the joint just prior to the MRI. This study is nearly 100% accurate in diagnosing a tear. (See Fig. 3)
X-rays may show bony injuries reactions to a dysfunctional rotator cuff tear. Cysts can occasionally be visualized in the region of the cuff insertion at the humerus, the humeral head may migrate toward acromial roof, or bone spurs may develop on the undersurface of this roof. MRI images give cross-sectional pictures of the rotator cuff. Small tears or fraying of the cuff tissue are frequently seen and large and massive tears are easily apprecitated.
Non-Surgical Treatments
Medications
Because cuff tears are an essentially mechanical problem, there are no medications that can "cause" the cuff to heal spontaneously. However, some medications such as Non-steroidal Anti-inflammatory Drugs (NSAID’s) will frequently help to ease the pain and symptoms related to the torn cuff. These medications can be quite helpful, but can also have side effects and therefore should be taken under the supervision of a physician experienced in their use. Injections of steroids (cortisone) into the shoulder will occasionally be recommended to ease the symptoms of inflammation in the shoulder while a physical therapy program is initiated to rehabilitate the rotator cuff muscles and restore function. While the effects of the cortisone are not permanent, if the cuff can be strengthened while the cortisone is helping ease inflammation, the symptoms may not return as the mechanics of the shoulder are restored.
For any medications taken, patients should learn:
- the risks, possible interactions with other drugs
- the recommended dosage
- the cost
Exercises
The normal function of the shoulder joint is dependent upon a balance of several factors, including:
- the fit or conformity of the humeral head ("ball") to the glenoid ("socket")
- the integrity of the lip of tissue around the glenoid socket (also called the labrum)
- the integrity of the ligaments within the shoulder capsule that act as "check reigns" to motion (termed the glenohumeral ligaments)
- a "vacuum effect" of the head in the glenoid socket
- the stabilizing effect of the rotator cuff muscles around the shoulder joint
Of all these factors, the one that can be addressed most easily is the strength and function of the rotator cuff muscles. These muscles can be strengthened effectively with a supervised and home physical therapy program designed to selectively balance and strengthen the four muscles around the shoulder that comprise the "cuff" ( called the supraspinatus, infraspinatus, teres minor, subscapularis). Most general shoulder exercisers in the gym do not adequately isolate and address rotator cuff strengthening, so it is important to learn which exercises are most beneficial. This is usually done under the supervision of a physical therapist or athletic trainer.
If the exercises are performed gently several times per day on an ongoing basis, many patients will obtain relief of their symptoms, and their strength will return. These exercises will not cause the cuff to ‘heal’, but may allow the intact remaining cuff to take over the function of the injured portion. It is important for patients to learn the possible risks of physical therapy as well as its cost. The anticipated effectiveness of physical therapy is dependent upon the degree, nature, and chronicity of the tear.
Surgical Repair of Rotator Cuff Tears
Possible benefits of arthroscopic rotator cuff repair and shoulder surgery
In persons who continue to have symptoms despite an adequate trial of physical therapy, surgical repair of the rotator cuff is the most effective method to restore strength and eliminate pain.
Different shoulder surgeons have different preferences regarding how they like to repair torn cuff tissues. One of the obstacles to surgery of the shoulder (unlike the knee) is that the shoulder is surrounded by a bony and muscular "envelope". The shoulder blade, or scapulaacromion. The rotator cuff muscles originate on the scapula, and surround the socket and humeral head under this acromial roof. The larger deltoid muscles originate from the surface of the acromion, and form another muscular barrier to the cuff as well. In short, the rotator cuff is "protected" in the front, side and back by the deltoid muscles, and is inaccessible from the top owing to the bony acromion.
Historically, surgeons had to make large incisions in the skin and split and move the deltoid muscles to gain access to the rotator cuff. Serious and debilitating complications developed if the deltoid muscle origin did not heal back to the acromion, so surgeons now will now access the rotator cuff tear by leaving the deltoid muscle attached and simply splitting it (like ‘peeking through closed curtains’) to gain access to the rotator cuff where it attaches to the humerus. This process is ideal for tears that have not pulled back, or retracted back away from the deltoid. However, in cases of larger retracted rotator cuff tears, working through a deltoid split can become a little like building a ship in a bottle—trying to work through the narrow mouth of a bottleneck to get to the retracted cuff tissue.
With the advent of arthroscopy, innovative shoulder surgeons found that one could make a few very small incisions in the skin and deltoid muscles surrounding the shoulder joint and could have access to every part of the rotator cuff. These incisions are small enough that they do not affect the function of the deltoid muscle or injure its origin on the acromion. Using the arthroscope and instruments specifically designed for the purpose of manipulating and repairing the tissue, the surgeon can work from any angle around the tissue. The techniques and skills required for an all-arthroscopic rotator cuff repair are relatively new, however, and require special training and a dedicated and skilled operating team.
Frequently Asked Questions (FAQ’s) about arthroscopic rotator cuff surgery
Is my rotator tear "too big" to be fixed using arthroscopy?
The primary advantage of all-arthroscopic repair is that it allows a surgeon "global" access to the rotator cuff and tear for adequate cuff evaluation, repair and fixation to bone. For this reason, the LARGEST tears are often that require the greatest degree of skill and familiarity with arthroscopic techniques. Surgeons who are facile with arthroscopic techniques actually prefer to prepare and evaluate the cuff using the arthroscope, as this allows better visualization.
Will I recover or "heal" faster after arthroscopic rotator cuff repair?
Most people feel better faster, but they are not technically healed faster after an arthroscopic repair. All surgeries done to repair the rotator cuff, whether performed through open incisions or using the arthroscope, are designed to replace the rotator cuff to its original site, called the insertion. The sutures placed to hold the cuff would fatigue over time and the repetition of normal shoulder motion if it were not for the fact that the body "heals" the cuff to the repaired position with relatively normal tendon. The rate of the healing process is not affected by the method used to repair the cuff, so the cuff will not "heal" more quickly if a less-invasive, arthroscopic procedure is performed. However, most patients feel better much sooner after an arthroscopic procedure because these procedures do not require the extra healing of the deltoid muscle and longer skin incisions. For this reason, a patient must be disciplined about adhering to a strict postoperative "rest" so that they don’t stress the repair before the body has completed the healing process, which goes on for several weeks and months.
Are the results as good as with "mini-open" techniques?
Most of the recent studies show that in the hands of surgeons who are expert in all-arthroscopic rotator cuff repair, the results are comparable to open techniques. Specifically, the best results reported for open repairs are as high as 97% success.1,7,11,142-6,8-10,12,13 Reports of the traditional open fixation tend to demonstrate that the success rates are less favorable for larger tears. Interestingly, the studies of arthroscopic repairs show otherwise: the results do not appear to be significantly worse with larger tear sizes.4 This is probably due to the global access to larger tears with the arthroscopic techniques. Recent articles reported on arthroscopic fixation using the latest instruments and techniques demonstrate 93% to 95% good and excellent results.
Studies have shown that "retear" rates may be higher with arthroscopic techniques, and the durability of these relatively new techniques will be better understood over time. It is interesting that when massive tears deemed "irreparable" by standard techniques are addressed with an arthroscopic technique called margin convergence, the results can be favorable even if the tear can’t be fully repaired to bone.
Who should consider arthroscopic rotator cuff repair and shoulder surgery?
Arthroscopic or open shoulder surgery is considered for cuff tears when:
- pain, weakness, and disability represent a significant problem for the patient, and inhibit his or her ability to perform the activities of daily living, overhead activities, or sporting activities
- the patient is sufficiently healthy to undergo the procedure
- the patient understands and accepts the risks and alternatives to the procedure
- the patient has truly exhausted non-operative treatments, like physical therapy
- an appropriate and comprehensive diagnostic evaluation has been performed and the nature of the problem is clear
- the surgeon is experienced and familiar with several techniques and treatments for shoulder injuries, including arthroscopic surgery and open (traditional surgery)
- the patient is capable and willing to undergo a comprehensive post-operative rehabilitation (physical therapy) program
- the patient does not gain financially from remaining disabled or injured (e.g. lawsuits, disability)
The results of arthroscopic and open rotator cuff repair procedures are most effective when the patient follows a simple post-operative rehabilitation program. Thus, the patient’s motivation and dedication are important elements of the partnership.
What happens without surgery?
Persons who suffer from pain, weakness and muscular imbalances in the shoulder may lose valuable time from work, become progressively disabled, or worse: do permanent or irreparable damage to the rotator cuff or develop premature arthritis.
It is impossible to predict whether a person who first presents with short-term pain and disability from a rotator cuff injury or tear will improve without surgery. Except in rare instances, an experienced physician or surgeon will first try to rehabilitate the shoulder with an intensive physical therapy program. If the function of the rotator cuff can be balanced, many people will avoid the need for surgery.
In cases of an extremely long-standing rotator cuff tear with shoulder dysfunction, arthritis can occur in the shoulder joint. This process is called rotator cuff arthropathy and can lead to severe disability and irreversible changes to the shoulder joint. Usually, if the process has gone unchecked for a long time, a rotator cuff repair is unlikely to be successful. Other surgical operations, involving replacement of the humeral head (also called hemi-arthroplasty) may be required to alleviate symptoms.
Surgical options
In the hands of a surgeon who is experienced with arthroscopic shoulder surgery, almost all of the following procedures can be performed alone or together to restore strength and eliminate pain in the shoulder joint or from the rotator cuff:
- repair of the rotator cuff
- repair of the biceps tendon or anchor
- removal of "bone spurs" from the undersurface of the acromial roof (subacromial decompression)
Effectiveness of rotator cuff surgery
In the hands of an experienced surgeon, arthroscopic rotator cuff repair can be very effective in eliminating pain and restoring strength and function to the shoulder of a well-motivated patient. The greatest benefits are often the ability to perform the usual activities of daily living, overhead activities, and sports without discomfort, and to sleep without a chronic ache in the shoulder. As long as the shoulder is cared for properly and subsequent traumatic injuries are avoided, the benefits of repair should be permanent.
Urgency
The repair of the rotator cuff is never an emergency, and probably shouldn’t be considered until a comprehensive rehabilitation program has been attempted. There are a few exceptions to this philosophy:
- young persons in whom an MRI-documented rotator cuff tear has occurred as a result of a traumatic injury
- heavy laborers or overhead athletes in whom an MRI-documented rotator cuff tear has occurred as a result of traumatic injury
- large or massive, retracted tears with chronic (more than 6- to 12- weeks) of symptoms in whom MRI and x-rays demonstrate the appearance of atrophy, upward migration of the humeral head, or the early signs of rotator cuff arthropathy.
Before surgery is undertaken, the patient needs to:
- be in optimal health
- understand and accept the surgical alternatives, options, risks and benefits
- have discussed and or attempted non-operative measures to treat the problem (i.e. rehabilitation/physical therapy)
- have undergone a comprehensive examination, X-ray and usually MRI work-up to define the tear and evaluate the rest of the joint.
Risks
Adverse events following shoulder surgery are extremely rare, but they can not be completely eliminated. The risks of arthroscopic rotator cuff repair include but are not limited to the following:
Infection, temporary or permanent injury to the nerves and blood vessels around the shoulder, permanent joint stiffness, recurrent tears of the rotator cuff, pain, allergic reactions to any implants or suture materials used to stabilize the joint, or the need for additional surgeries. The anesthesia used during the procedure also has some risks, that can be addressed by the anesthesiologist. The experienced and cautious surgical team uses special techniques to minimize all the above risks.
Managing risk
Many of the risks of surgical stabilization can be effectively managed if they are promptly identified and treated. Infections may require a wash-out of the joint, and rarely require removal of any implanted materials. Blood vessel or nerve injuries are rare, and most resolve spontaneously. Occasionally, such an injury may require surgical repair. Excessive stiffness of the joint is rare in the person who is cooperative with the postoperative rehabilitation program, and most of the stiffness will respond to exercises. If a patient has questions or concerns about the "normal" course after surgery, the surgeon should be informed as soon as possible and be available to explain the expected course and outcome.
Preparation
Surgical rotator cuff repair is considered for healthy and motivated individuals in whom pain and weakness interfere with shoulder function and activity.
Successful surgery depends upon a partnership between the patient and the experienced shoulder surgeon. Patients should optimize their health to prepare for surgery. Smoking should be stopped one month prior to surgery, and be avoided altogether for at least three months following surgery. Any heart, lung, kidney, bladder, tooth, or gum problems should be managed before the shoulder surgery. Any active infections will delay elective surgery to optimize the benefit and reduce the risk of shoulder joint infection. The surgeon should be made aware of any health issues, including allergies and non-prescription and prescription medications being taken. Some medications will need to be held or stopped prior to surgery. For instance, aspirin and anti-inflammatory medications (Advil®, Motrin®, Alleve®, and other NSAIDs) should be discontinued as they will affect intra-operative and postoperative bleeding.
Before surgery, patients should consider the limitations, alternatives and risks to surgery. Patients must recognize that the procedure is a process and not an event: the benefits of the surgery depend a large part on the patient’s willingness to apply effort to rehabilitation after surgery.
Patients must plan on being less active and functional for 12 to 16 weeks after the surgery. Driving, shopping and performing overhead chores, lifting, and repetitive arm activities may be difficult or impossible during this time. Plans for the necessary assistance need to be made before surgery. For individuals who live alone or those without readily-available help, arrangements for home help should be made well in advance. Usually, the complete rehabilitation and restoration to normal function can take as long as 6 months.
Timing
Rotator cuff surgery can be delayed until the time that suits the patient best. In persons who have longstanding symptoms it is probably prudent to consider surgery before secondary atrophy and arthritic changes can develop.
Costs
The surgeon’s office should provide a reasonable estimate of:
- the surgeon's fee
- the hospital fee, and
- the degree to which these should be covered by the patient's insurance
Surgical team
Rotator cuff repair, particularly when done through the arthroscope is a technically demanding procedure that must be performed by an experienced, specially trained shoulder surgeon in a medical center accustomed to performing complex arthroscopic shoulder procedures on a weekly basis. Patients should inquire as to the specific training the surgeon has undergone to perform such procedures (i.e. a fellowship-trained, sports medicine/shoulder specialist familiar with arthroscopic techniques and equipment) and also as to how many of these procedures the surgeon and the medical center perform on a yearly basis.
Finding an experienced surgeon
While surgeons who are capable of performing simple arthroscopic procedures are relatively easy to find, complex reconstructive surgeries in the shoulder (like arthroscopic stabilization procedures and arthroscopic rotator cuff repairs) demand a degree of highly-specialized training. Many capable surgeons will have completed a fellowship (additional year or two of training) specifically in arthroscopic techniques, shoulder surgery and sports medicine. A qualified sports medicine surgeon should be comfortable with both open (traditional) and arthroscopic techniques, and tailor the appropriate treatment to the problem to be addressed. Fellowship-trained surgeons may be located through university schools of medicine, county medical societies, or state orthopedic societies. Other resources include professional societies such as the American Orthopedic Society for Sports Medicine (AOSSM) or the American Academy of Orthopedic Surgeons (AAOS), or the American Shoulder and Elbow Surgeon’s Society (ASES)
Facilities
Arthroscopic rotator cuff repair is usually performed in a qualified ambulatory surgical center or major medical center that performs such procedures on a regular basis. These centers have surgical teams, facilities, and equipment specially designed for this type of surgery. For those patients who require an overnight stay, the centers have nurses and therapists who are accustomed to assisting patients in their recovery from shoulder stabilization.
Technical details
Rotator cuff repair, either arthroscopic or through a "mini-open" incision is a highly technical procedure; each step plays a critical role in the outcome.
After the patient is comfortably positioned in a seated position and anesthetic has been administered, the shoulder is given a sterile wash and draped for surgery. The surgeon begins by examining the shoulder while the patient is asleep or the shoulder relaxed so he or she can assess the relative stability of the joint, the range of motion, and feel for any abnormal grinding or catching of the joint.
Next, one or two very small (1cm) incisions, or "portals" are made, usually one in the front and one behind the shoulder joint. Through these small portals, hollow instruments called "canulas" are placed that irrigate the inside of the shoulder joint with sterile saline and "inflate" the joint with clear fluid. The canulas allow the placement of an arthroscopic camera and specially designed instruments within the shoulder joint.
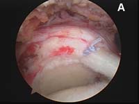
The surgeon maneuvers the camera around the joint while he or she watches a video monitor of what the camera "sees". A highly-skilled surgeon can evaluate all of the important structures within the joint, test their stability and integrity, and look for signs of ligament injuries, cartilage wear (or arthritis), and bony injuries that can be caused by or lead to shoulder instability or dislocation. Most often, the surgeon will take photographs of the interior of the joint to help to explain to the patient what was found, and how it was corrected. This portion of the surgery is called a "diagnostic arthroscopy" and is absolutely necessary to assure the success of any surgical procedure in the shoulder (even if an MRI had been obtained prior to the procedure). This is because the arthroscopic examination of the joint is still the "gold standard", or best way to understand ALL of the factors that could be present and may need to be addressed to treat the problem.
Once the surgeon understands what structures within the joint are injured or torn, he or she will choose the best possible surgical approach to treat the problem. A highly-skilled surgeon who is comfortable with the anatomy of the joint and who has exceptional skills with specially-designed arthroscopic instruments and implants can usually address the problem without the need for large incisions.
For the most common type of rotator cuff tears, the tendon of the rotator cuff muscle called the supraspinatus will have torn and pulled back slightly from its normal attachment at the greater tuberosity atop the humerus. These smaller tears which are "non-retracted" or "minimally-retracted" only need to be freshened or débrided back to stable, healthy tendon tissue, then mobilized back to the tuberosity and fixed in place. (See Fig. 9) When using an all arthroscopic technique, the surgeon will employ special devices called "suture anchors" to hold the tear in position when it heals. These "anchors" can be made of metal or absorbable compounds. They are screwed or pressed into the bone of the attachment site and the attached sutures are used to tie the edge of the rotator cuff in place.
As tears become larger, they deform and the tendon tissue "shrinks". Thus, larger tears need to be refashioned, repaired side-to-side, or "zipped" closed using a technique called margin convergence. This technique is analogous to zippering shut an open tent flap. The rotator cuff tissue is freed from a scarred, retracted position and repaired side-to-side to ‘close the tent flap’ and restore the tissue over the top of the humeral head. (See Fig.4 and Fig.10) The repaired cuff tissue is then fixed to the site it originally tore away from using specially-designed implants called suture anchors. These are metallic or absorbable plastic devices that secure sutures to the bony attachment. The sutures are then sewn through the torn edge of the cuff to complete the repair.
To avoid abrasion of the repaired cuff on the undersurface of the bony roof over the joint (called the acromion), most surgeons perform an arthroscopic acromioplasty—a technique to remove ‘bone spurs’ from above the repaired tissue. Occasionally, the site where the end of the collar bone (clavicle) meets the roof over the shoulder is found to be arthritic. If there are bone spurs below the clavicle, these can be removed using the arthroscope and special instruments as well.
At the conclusion of the procedure, any incisions are closed using absorbable or removable sutures. The patient’s shoulder is placed into a postoperative sling to protect the shoulder during the early postoperative period.
Absorbable "suture anchors" or implants are gradually absorbed and the sutures attached are incorporated into the healing tissues. When metallic anchors are used (a matter of surgeon preference), these are buried in the bone, and do not affect the integrity of the bone or the shoulder joint. Further surgery is NOT normally required to remove the suture anchors after healing.







Anesthetic
Arthroscopic and traditional open shoulder stabilization procedures may be performed under a general anesthetic or under a regional block that makes the shoulder and arm numb during and for several hours after the procedure. The patient may wish to discuss their preferences with the anesthesiologist prior to surgery.
Length of arthroscopic rotator cuff repair and shoulder surgery
The procedure takes approximately 2 to 2 ½ hours, however, the preoperative preparation and postoperative recovery can easily double this time. Patients usually spend 1 or 2 hours in the recovery room. Patients who undergo arthroscopic procedures almost always are comfortable enough to be discharged home. Those undergoing more traditional open procedures may require one night’s hospitalization.
Pain and pain management
Recovery of comfort and function following shoulder procedures continues over a few months. Initially, the shoulder must be protected from overuse or stressing the repair while the shoulder heals using a sling and a very strict rehabilitation program. Ironically, many patients who undergo arthroscopic procedures feel very comfortable long before the healing has taken place, probably because the approach spares the patient from large incisions and dissection through the muscle tissues.
Immediately postoperatively, the patient is given strong medications (such as morphine or Demerol) to help with the discomfort of swelling and the work of the surgery. Most patients are discharged to home the day of surgery with a prescription for oral pain medications (such as hydrocodone or Tylenol with codeine) and an anti-inflammatory medication.
Use of medications
Immediately postoperatively, pain medications are given through an intravenous (IV) line. Patients who require a hospital stay are placed on patient controlled anesthesia (PCA) to allow them to administer their own medication as it is needed. Oral pain medications are rarely required after the first two to three weeks following the procedure.
Effectiveness of medications
Pain medications are very powerful and effective. Their proper use lies in the balancing of their pain-relieving effect and their other, less desirable effects. Good pain control is an important part of appropriate postoperative management.
Important side effects of pain medications
Other pain medications (taken through the IV or orally) can cause drowsiness, slowness of breathing, difficulties in emptying the bladder or bowel, nausea, vomiting, itching, or allergic reactions. Patients who have been on pain medications for a long time prior to surgery may find that the usual doses of pain medication are less effective. For some patients, balancing the benefits and side effects of medications is challenging. Patients should notify their surgeon if they have had previous difficulties with pain medications or pain control.
Hospital stay
Most patients will not require a hospital stay after an arthroscopic rotator cuff repair procedure. Generally, a person must spend an hour or two in the recovery room until the anesthetic medication has worn off. The instructions for the care of their shoulder, bathing, use of medications, and potential problems are explained to the patient and their family prior to discharge.
Recovery and rehabilitation in the hospital
When the patient is ready for discharge they should have been explained:
- What home exercises are appropriate and how often to do them
- How to take their medications
- When and how to remove the postoperative dressing
- How to use their postoperative sling
- How to care for their shoulder and incisions
- How to recognize potential problems, and what is normal and abnormal
- Who to call if there is a question
Because fluid is used to expand the shoulder joint during arthroscopic procedures, the shoulder is frequently swollen for a few days following surgery. Also, the incisions will "weep" fluid for a couple of days postoperatively, and the dressing can become damp.
The patient is asked to refrain from using the shoulder and arm for any overhead activities EVEN IF IT FEELS GOOD for 3 to 4 weeks after the procedure and remove the sling only to perform a strict set of limited exercises of the wrist, elbow and shoulder. These exercises will be explained prior to discharge.
Some patients find that finding a comfortable position to sleep can be difficult for the first few days. Some tricks to help sleeping are to:
- Try sleeping in a semi-reclined position or recliner chair
- When lying down, support the elbow from behind with one or two pillows so it doesn’t fall back against the bed
- The patient should not sleep on their side or stomach
For the first 3 or 4 weeks, a home program of rest and limited self-therapy is usually recommended. Then, as healing has progressed, the arm is removed from the sling and a formal rehabilitation program is started with the physical therapist, on an outpatient basis.
Physical therapy
Some early motion is important after rotator cuff repair, but unrestricted motion can endanger the success of the procedure. For the first 3 or 4 weeks, the patient is scheduled to see a physical therapist once or twice per week to monitor the progress of healing and to reiterate the proper exercises.
After a few weeks, the sling is removed, and a more comprehensive rehabilitation program is started. During this period, the therapist works closely with the patient to re-establish a normal range of motion. The therapist and patient work together, but the patient is expected to do "homework" on a daily basis so that constant improvement is achieved. Once a normal range of motion is re-established, shoulder strengthening is started. It takes about 12-16 weeks before the shoulder is completely rehabilitated for the normal activities of daily living, and about 4-6 months before contact athletics, throwing, and overhead sports can be re-started. A good therapist can work with the patient on "sports-specific" training to re-train the muscles and shoulder for golf, tennis, throwing, and swimming.
Rehabilitation options
The results of physical therapy are optimized by a competent therapist or certified athletic trainer, familiar with the procedure and the usual expectations, and a compliant patient, who is responsible to do home exercises and is motivated to improve. Most surgeons have a standard "protocol" that they can give to a physical therapist to let them know how to rehabilitate the shoulder. It is important for a patient to find a therapist with flexible hours and in a convenient location because the therapy will become part of a routine for 3 to 4 months. The surgeon can recommend a therapist or therapy group with whom he or she is used to working and who is familiar with the procedure. Therapy is generally done on an outpatient basis, with 2 or 3 visits per week so that the therapist can check the progress and review or modify the program as needed to suit the individual.
Usual physical therapy response
Patients are almost always satisfied with the range of motion, comfort and function that they achieve as the rehabilitation program progresses. The sense of pain with overhead motions is usually present for several weeks following the surgery and is normal in the course of healing. Occasionally, persons will have slight decreases in their overall overhead mobility. These minimal decreases usually do not affect the ability to perform overhead activities or prohibit a return to athletics at the same or a higher level.
If the exercises remain or become painful, difficult, or uncomfortable, the patient should contact the therapist and surgeon promptly.
Physical Therapy Risks
There are very few risks to appropriate postoperative therapy. If the therapist and surgeon are not in communication about what exactly what was done and what the short and long term expectations are following this procedure, the therapist can be too aggressive or alternatively too timid about the rehabilitation. This can result in failure of the procedure (re-tear of the cuff) or excessive shoulder stiffness. It is uncommon for these problems to occur.
Duration of rehabilitation
Every patient is slightly different. Once the range of motion is acceptable and the strength has returned, the exercise program can be cut back to a minimal level. Patients who have special needs, such as overhead athletes, swimmers, overhead laborers, and throwers may require sports-specific training with a therapist or athletic trainer.
Returning to ordinary daily activities
In general , patients are able to perform gentle activities of daily living with the operated arm at the side starting 3 to 6 weeks after surgery. Most persons who work at a desk job can return to work during this time. The patient is strongly encouraged to continue wearing the sling at all times for the first 3 to 4 weeks to remind themselves (and others) that the shoulder is injured and healing, and to limit overhead activities.
Driving should wait until the patient can perform the necessary functions comfortably and confidently, and the pain in the shoulder is at a minimum and pain medications are not required. A good question to ask a patient is "Would you want you driving if your 4-year old child was in the car or playing in the street?" In general it may take longer for a person to drive after the right side has had the procedure because of the increased demands on the right arm for shifting gears, etc
With the consent of their surgeon, a patient may return to activities such as swimming, golf and tennis between 4 and 6 months following the procedure. More extreme sports (wrestling, pitching, rock climbing, etc) should only be undertaken when the shoulder is extremely comfortable, and the strength is within 90% of the opposite side.
Long-term patient limitations
Patients must avoid impact activities (chopping wood, contact sports, sports with risk of falls) and heavy lifting (overhead labor, lifting heavy weights) until after the strength has returned to normal.
Physical Therapy Costs
The surgeon and therapist should provide the information of the usual cost of the rehabilitation program. Most insurances will cover the costs of some or most of the rehabilitation, except perhaps a "copay" that the patient must pay at each visit. Careful adherence to the home exercises between visits will usually decrease the overall number and frequency of visits required.
Summary of arthroscopic rotator cuff repair and shoulder surgery for rotator cuff tears, arthroscopic, minimally-invasive and open management
- Having a rotator cuff tear does not mean that you need to have a surgery; open, arthroscopic, or otherwise.
- There are many causes of shoulder pain, and many rotator cuff tears can be treated non-operatively, with a comprehensive therapy program to strengthen the muscles around the shoulder.
- In some cases, surgery is required to restore function of the rotator cuff. The experienced, specially-trained sports medicine shoulder surgeon can usually treat this problem using specially-designed instruments through small arthroscopic incisions. Occasionally, an open approach with larger incisions is required. It is a common misconception that some tears are "too large" to be fixed arthroscopically. In fact, in experienced hands, the largest rotator cuff tears are the ideal tears to be addressed using arthroscopic techniques.
- The surgery must be perceived as a process, not an event: there is a strict postoperative regimen that must be closely followed to assure the success of the procedure.
- In most cases, the combination of therapy or an outpatient surgical procedure done through the arthroscope will re-establish a functional, comfortable range of motion without pain and allow a person to return to normal overhead activities and even overhead sports and activities such as golf, tennis, and throwing sports.
References
- Blevins, F. T.; Warren, R. F.; Altchek, D. W.; and et al.: Arthroscopically-assited rotator cuff repair: Results using a mini-open deltoid approach. Arthroscopy, 12: 50, 1996.
- Burkhart, S. S.: Arthroscopic treatment of massive rotator cuff tears. Clin Orthop, (390): 107-18., 2001.
- Burkhart, S. S.: Arthroscopic treatment of massive rotator cuff tears: Clinical results and biomechanical rationale. Clin Orthop, 267: 45, 1991.
- Burkhart, S. S.; Danaceau, S. M.; and Pearce, C. E., Jr.: Arthroscopic rotator cuff repair: Analysis of results by tear size and by repair technique-margin convergence versus direct tendon-to-bone repair. Arthroscopy, 17(9): 905-12., 2001.
- Burkhart, S. S., and Tehrany, A. M.: Arthroscopic subscapularis tendon repair: Technique and preliminary results. Arthroscopy, 18(5): 454-63., 2002.
- Ellman, H.; Kay, S. P.; and Wirth, M.: Arthroscopic treatment of full-thickness rotator cuff tears: 2-7 year follow-up study. Arthroscopy, 9: 195., 1993.
- Fealy, S.; Kingham, T. P.; and Altchek, D. W.: Mini-open rotator cuff repair using a two-row fixation technique: Outcomes analysis in patients with small, moderate, and large rotator cuff tears. Arthroscopy, 18(6): 665-70., 2002.
- Gartsman, G. M.: All arthroscopic rotator cuff repairs. Orthop Clin North Am, 32(3): 501-10, x., 2001.
- <Gartsman, G. M.: Arthroscopic rotator cuff repair. Clin Orthop, (390): 95-106., 2001.
- Gartsman, G. M.; Khan, M.; and Hammerman, S. M.: Arthroscopic repair of full-thickness tears of the rotator cuff. J Bone Joint Surg Am, 80(6): 832-40., 1998.
- Hata, Y.; Saitoh, S.; Murakami, N.; Seki, H.; Nakatsuchi, Y.; and Takaoka, K.: A less invasive surgery for rotator cuff tear: mini-open repair. J Shoulder Elbow Surg, 10: 11-16., 2001.
- Snyder, S. J.: Evaluation and treatment of the rotator cuff. Orthop Clin North Am, 24: 173, 1993.
- Warner, J. J. P.; Goitz, R. J.; Irrgang, J. J.; and Groff, Y. J.: Arthroscopic-assisted rotator cuff repair: patient selection and treatment outcome. J Shoulder Elbow Surg, 6(5): 463-72., 1997.
- Weber, S. C.: Arthroscopic debridement and acromioplasty versus mini-open repair in the treatment of significant partial-thickness rotator cuff tears. Arthroscopy, 15(2): 126-31., 1999.